ProPet 80

卓越非凡 领航动物影像新标准

兽用彩色多普勒超声诊断系统

ProPet 80

动物是人类最亲密的朋友和最值得信赖的伙伴。狗万官方网站也一直致力于探索动物专用的超声影像解决方案。全新推出的ProPet系列,是狗万官方网站在动物超声影像智能化、专业化、精准化的一次跨越式革新。动物不能用言语来表述自己的不适,通过超声影像,ProPet系列搭建了动物医生与不同物种沟通的“桥梁”,为动物医生注入了“治愈之力”。 ProPet 80 是狗万官方网站匠心打造的一款高端动物专用彩超,采用性能卓越的全新硬件架构,极大提升超声系统的运行效率和数据处理能力,帮助动物医生从容应对日益增多的挑战性病例和日益多样化的临床需求。

了若指掌 腹部/浅表解决方案

高性能和先进的临床应用工具可以为动物医生提供临床信心。ProPet 80 搭载了先进的腹部和浅表应用工具,帮助医生在日常临床实践中发挥前所未有的作用。

  • Micro F 显微血流成像

    极大提升超低速微细血流的检出能力,同时更精准地滤除软组织和超声信号,为兽用医生提供以往无法通过常规血流获得的疾病诊断信息。

  • Bright Flow 立体血流成像

    在传统二维血流成像的基础上,呈现血流的立体感,具有动感的生命力之美。即便是微小的血管也能轻松应对,提高了血流的视觉敏感性。

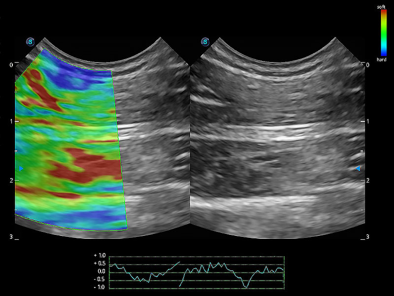
  • 应变式弹性成像

    操作简便,无需高频度外力作用即可真实反映组织的形变,快速评估肿瘤良恶性。

  • 全面的造影成像

    非线性融合造影成像充分利用谐波和基波信号,为难以观察的血流进行增强显像。可用于线阵、凸阵、微凸阵、相控阵探头。

得心应手 心脏解决方案

ProPet 80 配备了丰富的心脏探头群、先进的成像技术和专业的心脏测量工具,可帮助动物医生为不同体型和生理结构的动物提供心脏和心肌功能的全面评估。

  • TDI 组织多普勒成像

    实时用颜色表示心肌组织运动,观察和定量组织的运动情況,对快速检测与评估心肌的灌注和活性、电传导及心肌收缩和舒张功能等均能提供重要的诊断信息。

  • MQA 心肌定量分析

    通过心肌识别技术与二维斑点追踪技术相结合,对心脏的超声图像进行量化分析。计算心肌17个节段的应变、应变率、速度、位移等,并通过牛眼图的形式进行呈现。

  • AMM 解剖M型

    通过360度任意调节3条M型取样线,在同一心动周期上观察心脏不同位置的运动曲线,得到准确的心功能测量数据,有效评估心肌运动及左心室功能。

  • Stress Echo 负荷超声心动图

    具备多种协议可选,同时支持17阶段划分法和专业的SE报告。

  • LVO 心肌造影

    能够增加心肌组织与血流之间的区别。对于心脏扫查困难的动物,可提供更好的心内膜边界的显示。

  • Auto EF 心内膜自动描迹

    能够基于左心室壁追踪和辛普森法,自动计算射血分数,支持多个可移动点描迹,与手动测量相比,极大节省了动物医生的时间和精力。

专业的动物影像专用软件

ProPet 80 专为动物医生设计,对不同的动物体型和生理结构作出了针对性的优化。通过动物影像专用软件,可满足个性化的应用需求,帮助动物医生获得更精确的诊断数据。

  • Sono-Magnifier 测量放大器

    为精细结构及组织边缘提供高清晰度的图像和更大的成像视野。帮助减轻医生的用眼疲劳,快速精准获得测量的数据。

  • Sono-Measure 测量值预警

    当心脏测量结果超出正常范围时,可实时预警提示动物医生,减少疾病漏诊概率。

  • Sono Help 教学软件

    提供解剖示意图、标准超声图像、扫查手法涂和操作者实时检查图像,指导操作者进行标准切面的正确扫查。

  • Sono-Report 内置报告模板

    内置报告诊断描述模板库,支持报告自定义,提高报告撰写效率,让医生更专注于疾病诊断。

    测量

    报告

  • 全面的动物体标与注释库

    针对宠物、马科、农场动物、实验室动物和异宠等20多种动物种类,预置丰富的动物注释及动物体标库。

    150+

    动物体标

    120+

    动物注释

    20+

    动物种类

舒适的用户体验

为用户提供更优质的操作体验,是狗万官方网站始终坚持的目标。ProPet 80 完善的智联交互解决方案,可随时随地满足您远程会诊、教学、屏幕共享等互联互通需求。

  • Sono-Trans PC 直传

    可实现PC端与超声机器的快速连接,将动物超声检查图像、视频或报告通过有线或无线快速传输。帮助简化动物医生工作流程,提升工作效率。

  • Sono-Drop 智联Show

    可实现移动端与超声机器快速无线连接,宠物主可下载共享动物超声检查图像,记录动物的生长轨迹。

  • 智联Expert 远程会诊系统

    一键发起远程会诊,可将超声设备的屏幕信息实时共享至移动端,帮助动物医生进行远程医疗咨询和指导。

自动化工具

  • Auto 按键

    一键优化:单次按键助您快速优化重要成像参数,支持多种成像模式,提供卓越的图像。
    自定义功能:自定义 Auto 键功能,避免在触摸屏上反复寻找按键操作,可节省大量的时间和精力,以优化检查。

  • Auto EF 心内膜自动描迹

    能够基于左心室壁追踪和辛普森法,自动计算射血分数,支持多个可移动点描迹,与手动测量相比,极大节省了动物医生的时间和精力。

  • Auto Bladder 膀胱自动测量

    一键自动识别膀胱壁及自动测量膀胱容积,不受膀胱形状和大小的限制,帮助医生快速精准获得测量的数据。

  • Auto Trace 频谱自动包络

    随着取样门位置改变,频谱多普勒包络可进行自动眼踪测量,且可自由配置测量的参数。

友好的人机交互

  • 23.8 英寸超清显示器

    无论在暗室还是明亮的环境下,都能提供出色的对比分辨率、图像清晰度和鲜艳的色彩。

  • 13.3 英寸可调节触摸屏

    防炫光和防指纹超大触摸屏,支持角度可调节。

  • 探头保护套

    为探头提供安全防护,减少探头磕碰损伤,提高探头的使用寿命。

  • 内置大容量电池

    支持2小时以上设备不断电的连续扫查。

  • 五探头接口

    减少频繁插拔更换探头带来的不便,为动物医生节省宝贵的时间和精力。

  • 面板高度可调

    为不同体型动物的检查场景提供灵活的机身高度调节。

  • 支臂旋转可调

    显示屏关节支臂支持大角度旋转,可适应不同的临床应用场景。

优异的基础图像

ProPet 80 全新的动物超声智能软件和丰富的探头群,为动物医生提供了高清晰度和精细分辨率的图像,无论在宠物、马科、畜牧还是实验室动物等应用中都可以轻松应对,为您的日常工作带来满意的体验。

(犬)肝脏

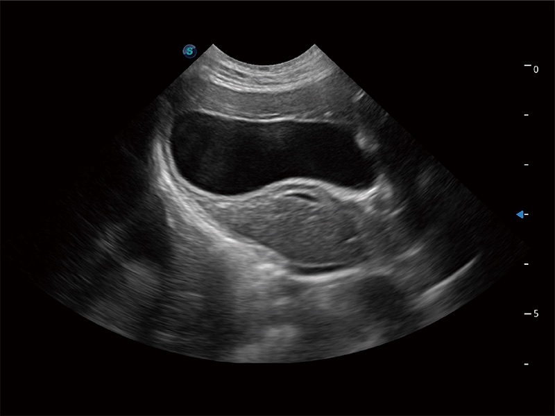
(猫)胆囊

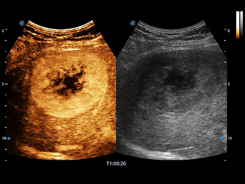
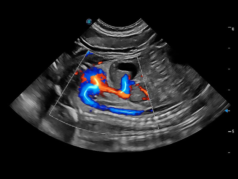
(犬)胎儿主动脉弓立体血流

(犬)四腔心MQA

(犬)肠道

(犬)肾脏显微血流

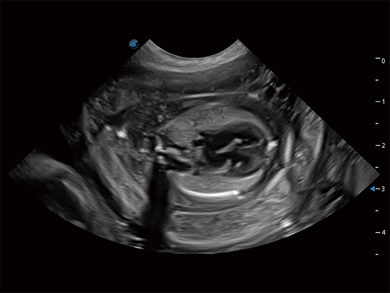
(犬)胎儿四腔心

(猫)二尖瓣M型

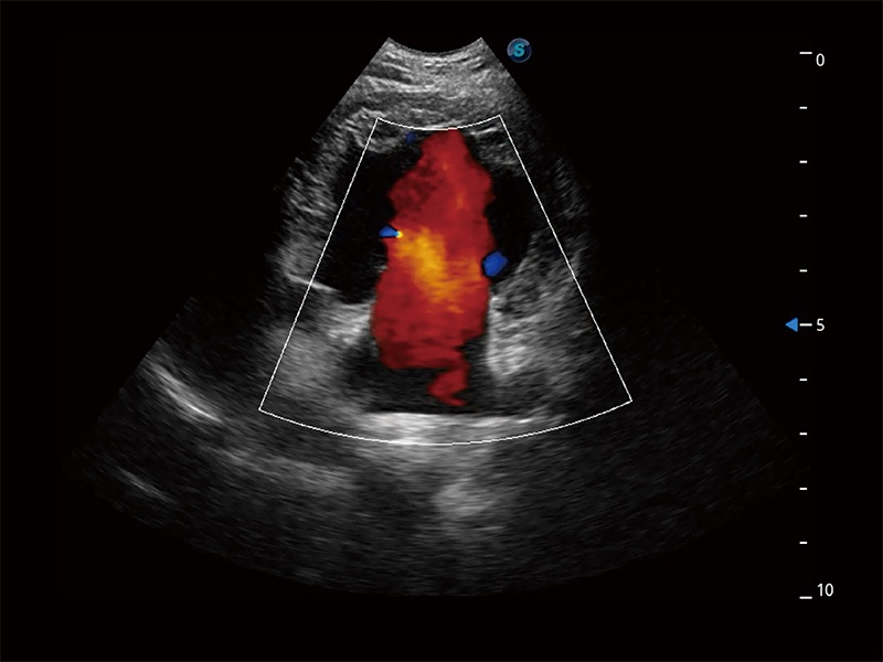
(犬)二腔心血流